zalo chat
Đường dây nóng: (Giờ hành chánh)
1900 2345 95
“Bệnh viện đa khoa Thống Nhất - Đồng Nai là Cấp khám bệnh, chữa bệnh CHUYÊN SÂU, SỐ ĐIỂM: 80”

Tin tức

BỆNH VIỆN ĐA KHOA THỐNG NHẤT ĐỒNG NAI CỨU SỐNG BỆNH NHÂN BỊ ĐẠN BẮN XUYÊN NGỰC

22/04/2026 - 7
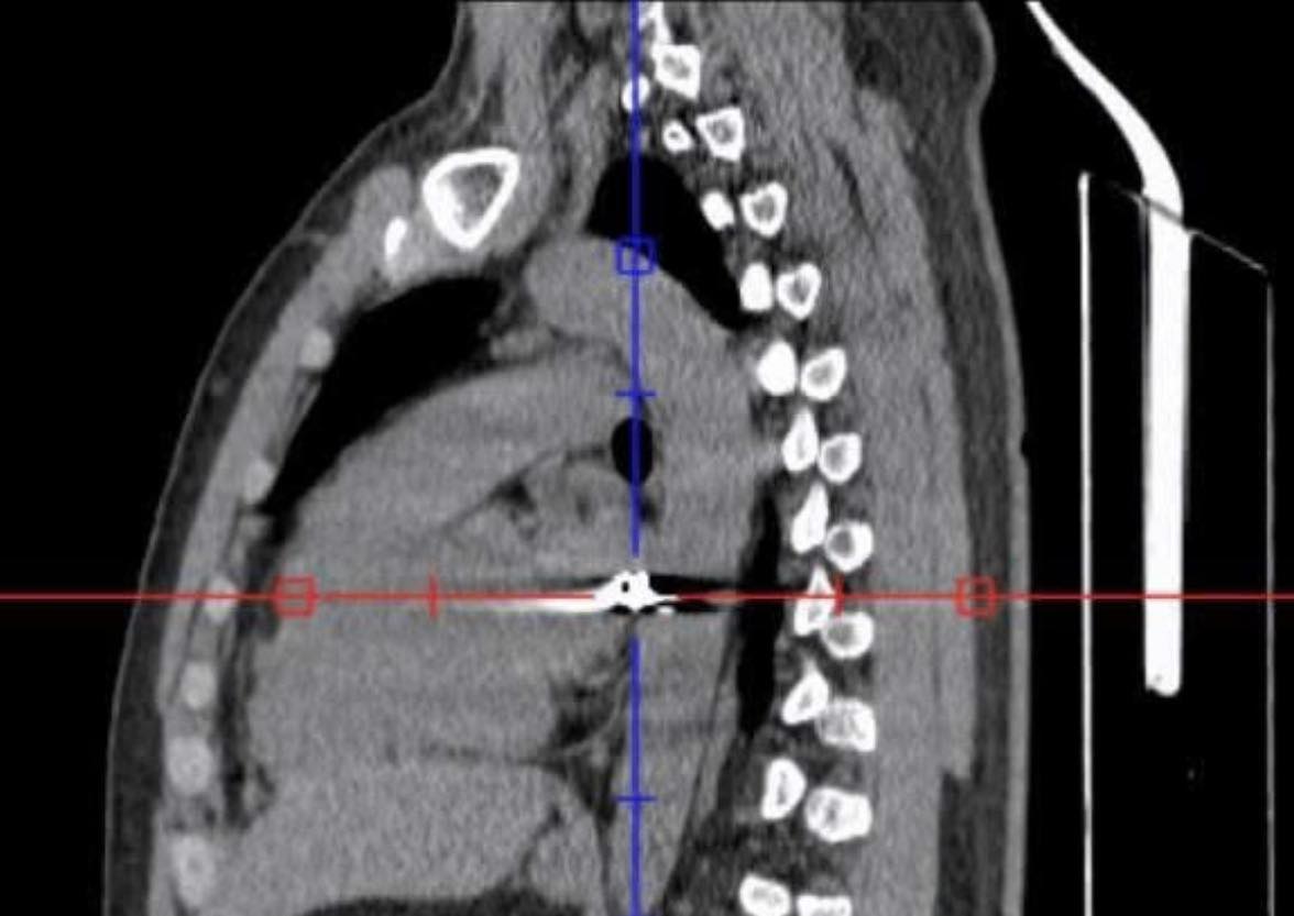
Ngày 21/4, Bệnh viện Đa khoa Thống Nhất Đồng Nai cho biết vừa phẫu thuật thành công, cứu sống một bệnh nhân nam bị đạn bắn xuyên ngực với tổn thương đặc biệt nguy hiểm.

Bệnh nhân P.V.H (32 tuổi, ngụ xã Thanh Sơn, tỉnh Đồng Nai) nhập viện vào khoảng 11 giờ ngày 20/4 trong tình trạng nguy kịch. Qua thăm khám ban đầu, các bác sĩ xác định viên đạn đi theo đường phức tạp từ vùng lưng phải xuyên qua lồng ngực sang bên trái – khu vực tập trung nhiều cơ quan trọng yếu như tim, phổi và các mạch máu lớn, đe dọa trực tiếp đến tính mạng người bệnh.

Sau hơn 4 giờ phẫu thuật căng thẳng, các bác sĩ đã kiểm soát được tổn thương, đồng thời gắp thành công một đầu đạn có kích thước khoảng 0,3 x 0,5 cm ra khỏi cơ thể bệnh nhân. Đây là yếu tố then chốt giúp hạn chế nguy cơ nhiễm trùng, chảy máu tái phát và các biến chứng nặng nề về sau.



Hiện tại, bệnh nhân đã qua cơn nguy kịch và đang tiếp tục được theo dõi, điều trị tích cực tại bệnh viện. Theo đánh giá chuyên môn, việc cứu sống bệnh nhân trong trường hợp vết thương do đạn bắn xuyên ngực là một thành công đáng ghi nhận, thể hiện năng lực chuyên môn, khả năng phối hợp liên chuyên khoa và phản ứng nhanh trong cấp cứu của đội ngũ y bác sĩ.

Sự việc một lần nữa khẳng định vai trò quan trọng của hệ thống cấp cứu ngoại khoa chuyên sâu trong xử trí các ca chấn thương phức tạp, góp phần bảo vệ tính mạng người dân trong những tình huống khẩn cấp.

(Nguồn: Báo Lao động)
——————————————————
BỆNH VIỆN ĐA KHOA THỐNG NHẤT ĐỒNG NAI
Website: www.bvthongnhatdn.vn
 0251 3885 224 – Hotline: 1900 2345 95
Địa chỉ: 234, Quốc lộ 1, P. Long Bình, Tỉnh Đồng Nai.